1 : Lire dans les pensées grâce au langage corporel
Lire dans les pensées : possible ou pure fantaisie ?
Recevoir directement les pensées d’un autre, et plus globalement communiquer uniquement via nos pensées, c’est ce qu’on peut appeler de la télépathie. Ça tout le monde connaît, mais rien de sérieux et de scientifique. Nos pensées sont bien enfermées dans notre corps, duquel en revanche certains signaux sont observables. Avec une simpliste méthodologie, ce sont ces signaux extérieurs que notamment utilisent les mentalistes durant un spectacle pour impressionner :
Les lecture des signaux extérieurs : le langage corporel
Alors certes certains signaux corporels sont intéressants à prendre en compte en fonction du contexte, pour repérer le stress, la concentration d’un individu ou quelques généralités… Par exemple, faire un pas de côté pour s’écarter d’une personne pourrait signifier un comportement de fuite. Alors que toucher la personne pourrait correspondre à un comportement d’approche que ce soit par amitié, par séduction ou par manipulation. Mais ça ne va pas plus loin dans l’interprétation.
Les 6 émotions commune à l’humanité ?
Les signaux externes qui ont une signification fiable, claire et universelle sont très rares. Ce serait malgré tout le cas par exemple des 6 émotions primaires :
- la colère : les sourcils froncés et une bouche voire une mâchoire serrée ;
- le dégoût : comme si le nez était remonté en soulevant la lève supérieur ;
- la joie : l’entièreté des joues remonte du coin des lèvres, aux yeux et oreilles ;
- la surprise : les yeux écarquillés avec des sourcils relevés et une bouche entreouverte ;
- la peur : cette fois-ci tous les muscles autour des yeux sont crispés ;
- et la tristesse : paupières, sourcils et coin des lèvres qui tombent sur les côtés.

(où je suis extrêmement mis en valeur : non)
On ne tire rien du seul non-verbal
La première méthode pour « lire » dans les pensées serait alors d’interpréter les signaux corporels. En revanche, hormis ces rares exceptions de certaines émotions, jamais, chaque signal corporel équivaut à une signification précise. Car leur signification n’est pas commune à tous – à toute culture ; et même chez une même personne, leur signification varie en fonction du contexte (V.Denault et al., 2017).
Ainsi cette première méthode de lire dans les pensées en interprétant les signaux corporels non-verbaux est peut-être amusante à faire mais n’est pas fiable, du tout. C’est-à-dire qu’on va interpréter tout ça un peu au hasard. Et cela est vrai même si on mesure des choses les plus objectives possibles ! Leurs significations restent très floues, comme le cas du détecteur de mensonge.
Le cas du polygraphe

Le détecteur de mensonge mesure plusieurs caractéristiques physiologiques comme le rythme cardiaque, la fréquence respiratoire, la température corporelle, la transpiration, voire même la dilatation de la pupille pour les plus sophistiqués imaginables. Tout ça, ce sont des réponses physiologiques. Et chaque petit élément physiologique s’exprime différemment en fonction d’une émotion. Un détecteur de mensonge ne mesure donc pas qu’une seule chose mais plusieurs caractéristiques physiologiques. C’est pour ça qu’on l’appelle aussi polygraphe.
Malgré toutes ces mesures, un polygraphe cherche seulement à savoir si une personne est stressée ou non. C’est-à-dire si elle a peur de se faire démasquer lors de l’énonciation d’un mensonge ou pas. C’est tout ce que permet un détecteur de mensonge. Vous saisissez pourquoi un tel dispositif est peu fiable ?
Si je n’ai pas peur de mentir, bah le polygraphe ne mesurera rien. Pareil, si j’ai peur tout le long de l’interrogatoire, difficile de différencier du vrai, du faux. Ou encore, un expérimenté peut même fausser la baseline de départ (c’est-à-dire les mesures de départ sur lesquelles on compare les prochaines mesures) en étant expressément stressé alors qu’il dit la vérité. Bref. Tout ça mis ensemble explique le pourquoi un détecteur de mensonge ou toute lecture du langage corporel est loin d’être fiable et pris pour argent comptant dans la réalité.
Synergologie et PNL : de la merde en boîte ?
Pourtant pour certaines personnes, la lecture du langage corporel permettrait littéralement de connaître certaines motivations de la personne voire carrément certains traits de personnalités. On parle de synergologie ou de programmation neuro-linguistique (PNL) par exemple. Bien que de plus en plus répandus dans le monde du marketing (depuis les années 80, ce n’est pas tout jeune !) PNL et synergologie sont loin d’être fiables avec des extrapolations trop grotesques sans validité scientifique (V.Denault et al., 2017 ; PsykoCouac, Mars 2017).
J’en parlerai plus longuement dans un prochain article. Dès fois, je me demande pourquoi certains s’amusent à inventer des trucs pseudoscientifiques de ce genre alors que pourtant une discipline scientifique existe déjà : la psychologie ! Bah oui, la psychologie, c’est la discipline scientifique qui, justement, objective et caractérise nos pensées.

2 : Lire dans les pensées grâce à la psychologie
Définition de la psychologie
Voilà la deuxième méthode pour « lire » dans les pensées. Et la plus fiable jusqu’à aujourd’hui. La psychologie. Selon le Larousse.fr, elle est la « discipline qui vise la connaissance des activités mentales et des comportements en fonction des conditions de l’environnement. » « Discipline qui vise la connaissance », c’est-à-dire la science des « activités mentales et des comportements » et tout ça en fonction de stimuli, c’est-à-dire en fonction du contexte, de l’environnement.
Ok pourquoi pas. Mais est-ce qu’on est certain qu’on puisse étudier scientifiquement la pensée humaine dans ces détails ? Car bon, c’est difficilement accessible. L’activité mentale c’est invisible. C’est pas palpable et difficilement mesurable. Va mesurer une pensée avec une règle et une calculatrice ! Comment alors savoir objectivement ce qui cogite dans nos têtes ?

Le Béhaviorisme : la pensée est un bloc uni inatteignable
Pour certains scientifiques, c’est impossible. On ne pourra jamais avoir accès à nos pensées. Tout ce qu’on peut objectiver et étudier de manière scientifique, c’est ce qui se passe avant et ce qui se passe après. C’est-à-dire contrôler les stimuli en amont, puis mesurer les comportements en aval. Et puis c’est tout.
Voilà l’approche de nombreux comportementalistes qu’on résume souvent au paradigme béhavioriste. Béhaviorisme, de l’anglais « behavior », c’est-à-dire comportement. Pavlov, Watson, Skinner en sont les premiers grands piliers. Très grossièrement donc, ils reviennent à notre première méthode d’étudier uniquement les signaux externes du corps MAIS non pas pour lire les pensées, mais pour en prédire les comportements en fonction d’un stimulus : Feu rouge, je m’arrête ; Feu vert, j’avance. Ce qui reviendrait, à mon sens, à faire de l’éthologie et non de la psychologie. L’éthologie étant la science du comportement, justement.

Empirisme : le béhavioriste pur et dur dira que rien n’est inné dès notre naissance ;
et tout est acquis, c’est-à-dire appris de manière empirique au cours de la vie.
Le Cognitivisme : la pensée est appréhendable et fragmentable
Pour qu’on puisse parler de psychologie, encore une fois selon mon avis personnel, il faut un minimum s’intéresser à ce qui est se passe dans notre petite tête. Ce qui sous-tend ces comportements.
Et cette manière d’appréhender les choses – où à partir des comportements on essaie de cartographier les chemins de pensées (représentations, processus mentaux, etc.) – c’est déjà davantage de la psychologie. L’étude des comportements n’est pas l’objectif réel de la psychologie. Le réel objectif est de les utiliser pour comprendre ce qu’il y a avant. Par contre – et c’est là que l’approche comportementaliste nous alerte – dans tous les cas, c’est sûr, on ne peut pas mesurer directement les pensées. On ne le peut que de manière indirecte, via l’étude des comportements.
Les Pensées : uniquement des choses inférées !
C’est quelque chose à garder un tête. La psychologie est une science indirecte. Quelle que soit la technique utilisée. Qu’elle soit comportementale (réponse orale, réponse écrite, réponse avec un bouton, réponse à un questionnaire, réponse avec un mouvement du corps) ou physiologique (électrocardiogramme, électromyogramme, électro-oculogramme, électroencéphalogramme, imagerie cérébrale) tout ce que fait la psychologie, c’est d’inférer qu’il y ait un ou des processus mentaux derrière.

3 : Lire dans les pensées grâce à l’imagerie cérébrale
Lire nos pensées dans les neurones…
La troisième manière de lire dans les pensées serait de capter l’activité physiologique de tout ce qui se passe dans notre petite tête. Il y a de très bonnes corrélations entre activité neuronale (nos neurones) et activité mentale (nos pensées). Et pour beaucoup de neuroscientifiques, voir une image du cerveau en activité correspond directement à voir l’activité de nos pensées ! Il faut toutefois rester clair sur une chose. Comme ce sur quoi nous venons d’appuyer juste avant. Une imagerie, comme tout comportement ou toute physiologie, est une approche indirecte de notre pensée.
Neurosciences et bric-à-brac d’inférences

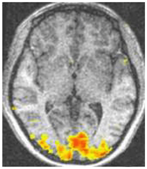
Exemple. Sur cette imagerie cérébrale ci-contre (Figure 6), nous avons une coupe du cerveau. Ici est colorée une partie du lobe occipital à l’arrière de notre tête, notamment connue comme nécessaire pour percevoir avec les yeux. On l’appelle d’ailleurs dès fois l’aire visuelle. Mais ce n’est pas parce que là, ça « s’allume » ou ça « s’active », que c’est forcément que la personne voit quelque chose avec les yeux. Encore une fois, ce n’est pas une observation causale et directe mais bien une observation indirecte. Peut-être que la personne imagine seulement voir quelque chose mais les yeux fermés. Peut-être que la personne est aveugle et cette zone cérébrale se « ré-organise » pour la perception spatiale du son. Peut-être que même ce n’est qu’une activité ambiante normale (« bruit continu ») sans perception visuelle (« discours fonctionnel »). On sait par exemple que toute partie du cerveau, aussi spécialisée soit-elle, est tout autant sollicitée lors de mouvements corporels (Jordana Cepelewicz, 2019, Quantamagazine.org citant : (Niell & Stryjer, 2010 https://doi.org/10.1016/j.neuron.2010.01.033) & multiples autres études). Ainsi, sans contexte, ni méthodologie, on peut faire dire tout et n’importe quoi à des images, même – et je dirais même surtout – celles du cerveau.

Une composante physiologique parmi d’autres
Ce serait le rêve des plus grands transhumanistes et des plus grandes sciences-fictions de pouvoir lire directement dans nos pensées juste en choppant l’activité des neurones. Mais on en est très loin. Quoiqu’il existe déjà aujourd’hui certaines exceptions floues sur des thématiques précises dont on reparlera au cours de prochains articles.
Pour conclure, la mesure comportementale ou physiologique, aussi précise soit-elle, comme l’activité neuronale, n’est qu’une mesure indirecte de plus, parmi tous les signaux corporels. Après – et là est la grande question à 1 million d’euros – est-ce que c’est parce qu’on pense un tel truc que tel neurone s’active ou inversement, c’est parce que tel neurone s’active que je pense à ce truc ? Plus globalement, si ça ne vous parle pas avec un neurone, est-ce qu’on est stressé par ce que notre cœur s’emballe ou bien c’est parce que notre cœur s’emballe que nous sommes stressés ?

Rapido Biblio
V.Denault et al. (2017) La synergologie, une lecture pseudoscientifique du langage corporel https://doi.org/10.7202/1039262rar
Jordana Cepelewicz, 2019, Quantamagazine.org : ‘Noise’ in the Brain Encodes Surprisingly Important Signals
Jordana Cepelewicz, 2019, Quantamagazine.org : ‘Noise’ in the Brain Encodes Surprisingly Important Signals
